Come and join us across the globe
 Founded by Pr. Jacques Moret 
Sign In

Single-pass super large-bore aspiration for acute left carotid T occlusion

Last update on March 10, 2026

An 82-year-old patient presented with a severe stroke (NIHSS 22) due to a left carotid T occlusion. Discover how a mechanical thrombectomy using a 0.088 large-bore aspiration catheter enabled a rapid and efficient recanalization, proving critical for the patient's clinical recovery.

  • GENDER: Female​
  • AGE (APPROXIMATE): 82​
  • ARRIVAL SITUATION: Previously functionally independent (baseline mRS 2), she was admitted under a stroke code after the sudden onset of right hemiplegia and aphasia.​
  • The patient underwent mechanical thrombectomy following an interhospital transfer.​
  • Arrival in the thrombectomy suite occurred 200 minutes after symptom onset.​
  • SYMPTOMS: On arrival, the neurological examination revealed forced gaze deviation to the left, right facial palsy, complete right hemiplegia, and motor-predominant aphasia, with a baseline NIHSS score of 22​.

 

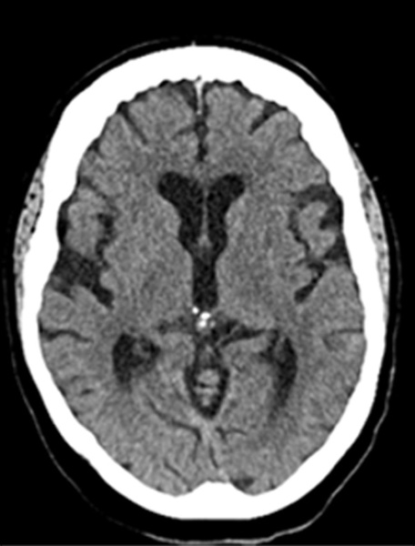
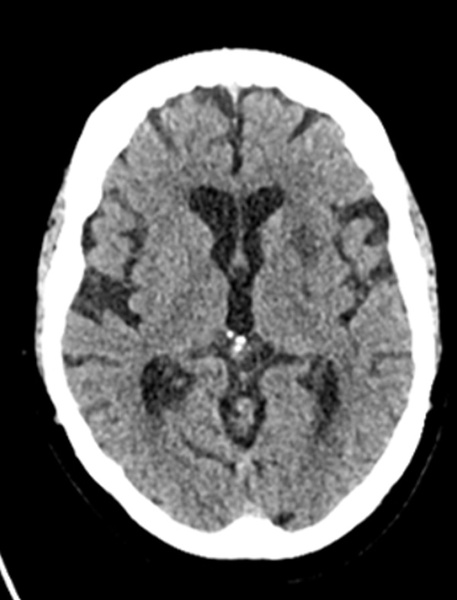
Baseline CT - ASPECTS 10

Baseline CT MCA hyperdensity

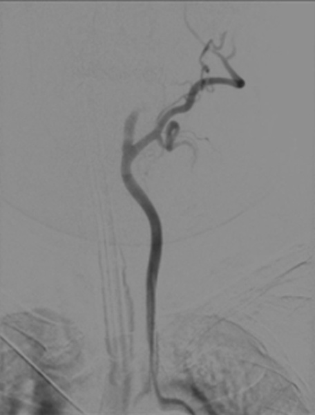
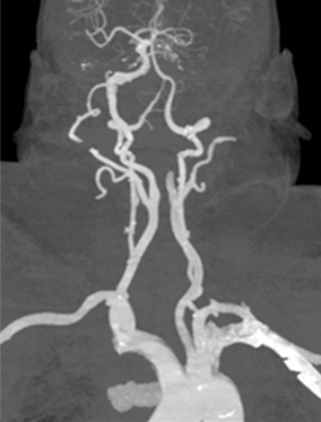
AngioCT - Internal carotid artery occlusion

 

Treatment

Medical imaging CT, CTA
Treatment chosen Mechanical thrombectomy using a distal large-bore aspiration technique with the SOFIATM Flow 88 catheter was selected due to the presence of a proximal large vessel occlusion (left carotid T occlusion) associated with a severe neurological deficit, and the absence of established infarction on baseline imaging.
Devices used
  • Right femoral access​
  • 8F sheathless long femoral introducer (Roadster) ​
  • 0.035″ guidewire (Terumo)​
  • 6F Simmons diagnostic catheter (Select)​
  • 0.088″ large-bore aspiration catheter (SOFIATM Flow 88)​
  • Aspiration system (pump)​
  • Femoral vascular closure device (FemoSeal)
Description of the treatment Ultrasound-guided right femoral puncture was performed using a micropuncture kit. An 8F sheathless long femoral introducer was advanced over a 0.035″ guidewire into the descending aorta.​
After removal of the introducer dilator, the 0.088″ large-bore aspiration catheter (SOFIATM Flow 88), the diagnostic catheter, and the guidewire were advanced together and navigated up to the proximal internal carotid artery.​
At this level, the diagnostic catheter was withdrawn, aspiration was initiated using a pump, and the SOFIATM Flow 88 was advanced into the intracranial internal carotid artery.​
The aspiration catheter was then withdrawn under continuous aspiration, with simultaneous manual aspiration through the introducer using a 60-mL VacLok syringe, resulting in clot removal and vessel recanalization.​

 

 

Results after first pass TICI 3

 

Results

  • Complete recanalization (mTICI 3) of the left carotid T occlusion was achieved after a single aspiration pass, with a puncture-to-recanalization time of 11 minutes
  • At 24 hours, the NIHSS score improved to 3
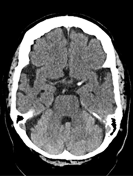
  • Follow-up CT showed no hemorrhagic transformation, with only a small established deep left infarct
  • At 90 days, the patient was functionally independent (mRS 2), returning to the same functional status as prior to the index stroke

 

24 h Control CT basal and virtual non contrast

 

 

Supported by Terumo Neuro

Terumo Neuro
 

This case review is provided solely for educational and scientific purposes and does not replace the official Instructions for Use (IFU). Availability, indications, and regulatory approval of medical devices may vary by country or region; healthcare professionals should verify that the device is approved for use in their local jurisdiction. Healthcare professionals must always refer to the current, locally approved IFU before using any medical device. For complete IFUs of MicroVention products, please visit https://www.terumoneuro.com/. For third-party products, please consult the respective manufacturer’s website. MicroVention does not endorse or assume responsibility for third-party product information.

On the same subject
Come and join us across the globe
 Founded by Pr. Jacques Moret