Come and join us across the globe
 Founded by Pr. Jacques Moret 
Sign In

EPosters

Last update on December 11, 2025

Dive into this list of e-posters selected by LINNC Course Directors Prof. Laurent Spelle, and Prof. Vitor Mendes Pereira for online display. We extend our warm gratitude to all the members of the INR community who submitted their cases on the occasion of LINNC Asia 2025.

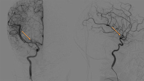
Complex Vertebro-Basilar Junction Aneursym
Complex Vertebro-Basilar Junction Aneursym
By Siddhant SINGH
Published on December 11, 2025
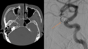
Tandem Stenosis & Extracranial Carotid Rescue Stenting
Tandem Stenosis & Extracranial Carotid Rescue Stenting
By Muralidharan VETRIVEL
Published on December 11, 2025
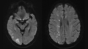
Hyperacute Hyperperfusion in ICAD stenting
Hyperacute Hyperperfusion in ICAD stenting
By Chowdam Venkata Sai TEJA
Published on December 11, 2025
From Invisible to Curable Endovascular Cure of a Heubner’s Micro-AVM in a Child
From Invisible to Curable Endovascular Cure of a Heubner’s Micro-AVM in a Child
By Nguyen Ngoc Minh LE
Published on December 11, 2025
Come and join us across the globe
 Founded by Pr. Jacques Moret