The online reference source for the interventional NeuroRadiology, Neurology and NeuroSurgery community
Light
Dark
Open main menu
Cases
Lectures
LINNC TV
Podcasts
Trials
Reports
Sponsored
Events
Cases
Lectures
LINNC TV
Podcasts
Trials
Reports
Sponsored
Events
Come and join us across the globe
Founded by Pr. Jacques Moret
Sign In
Dr. Nguyen Ngoc Minh LE
Stroke Center, Hue Central Hospital
Hue City, Viet Nam
Contributions
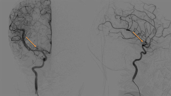
From Invisible to Curable Endovascular Cure of a Heubner’s Micro-AVM in a Child
AVM / Fistulas
December 11, 2025
Come and join us across the globe
Founded by Pr. Jacques Moret