Come and join us across the globe
 Founded by Pr. Jacques Moret 
Sign In

EPosters

Last update on February 24, 2026

Dive into this list of e-posters selected by LINNC Course Directors Prof. Laurent Spelle, and Prof. Vitor Mendes Pereira for online display. We extend our warm gratitude to all the members of the INR community who submitted their cases on the occasion of LINNC Americas 2026.

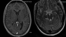
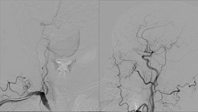
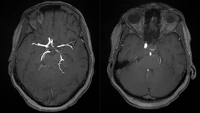
Fusiform Posterior Cerebral Artery Aneurysm Coil Embolization
Fusiform Posterior Cerebral Artery Aneurysm Coil Embolization
By Vikalpa DAMMAVALAM
Published on February 24, 2026
 
Endovascular Treatment Of Carotid Body Tumor With Embospheres
Endovascular Treatment Of Carotid Body Tumor With Embospheres
By Smit SHAH
Published on February 24, 2026
 
 
 
 
 
Mission: Impossible - An acom aneurysm with almost no access
Mission: Impossible - An acom aneurysm with almost no access
By Jose De Jesus GUTIERREZ-BAÑOS
Published on February 24, 2026
Come and join us across the globe
 Founded by Pr. Jacques Moret