Come and join us across the globe
 Founded by Pr. Jacques Moret 
Sign In

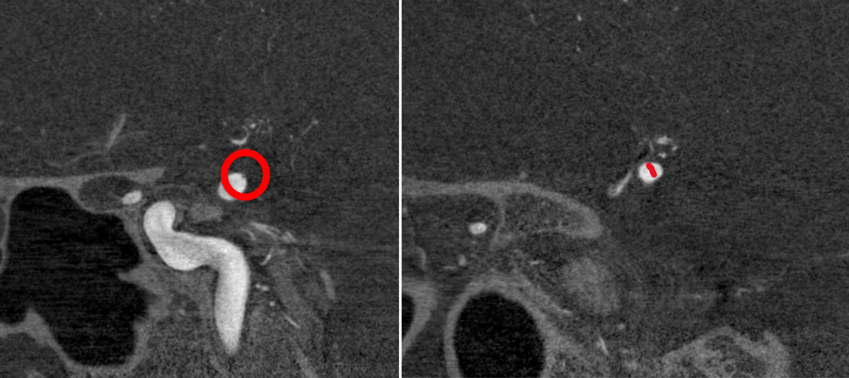
ICA-M1 intracranial dissection EVT

Last update on February 19, 2026

This clinical case presents a 28-year-old female patient presenting with a wake-up stroke, managed with endovascular treatment.

  • 28 yo, Female
  • Wake up stroke (LKW 02.00)
  • NIHSS: 15
  • No i.v. lysis
  • CTA: 10.25
  • Groin puncture: 11.07

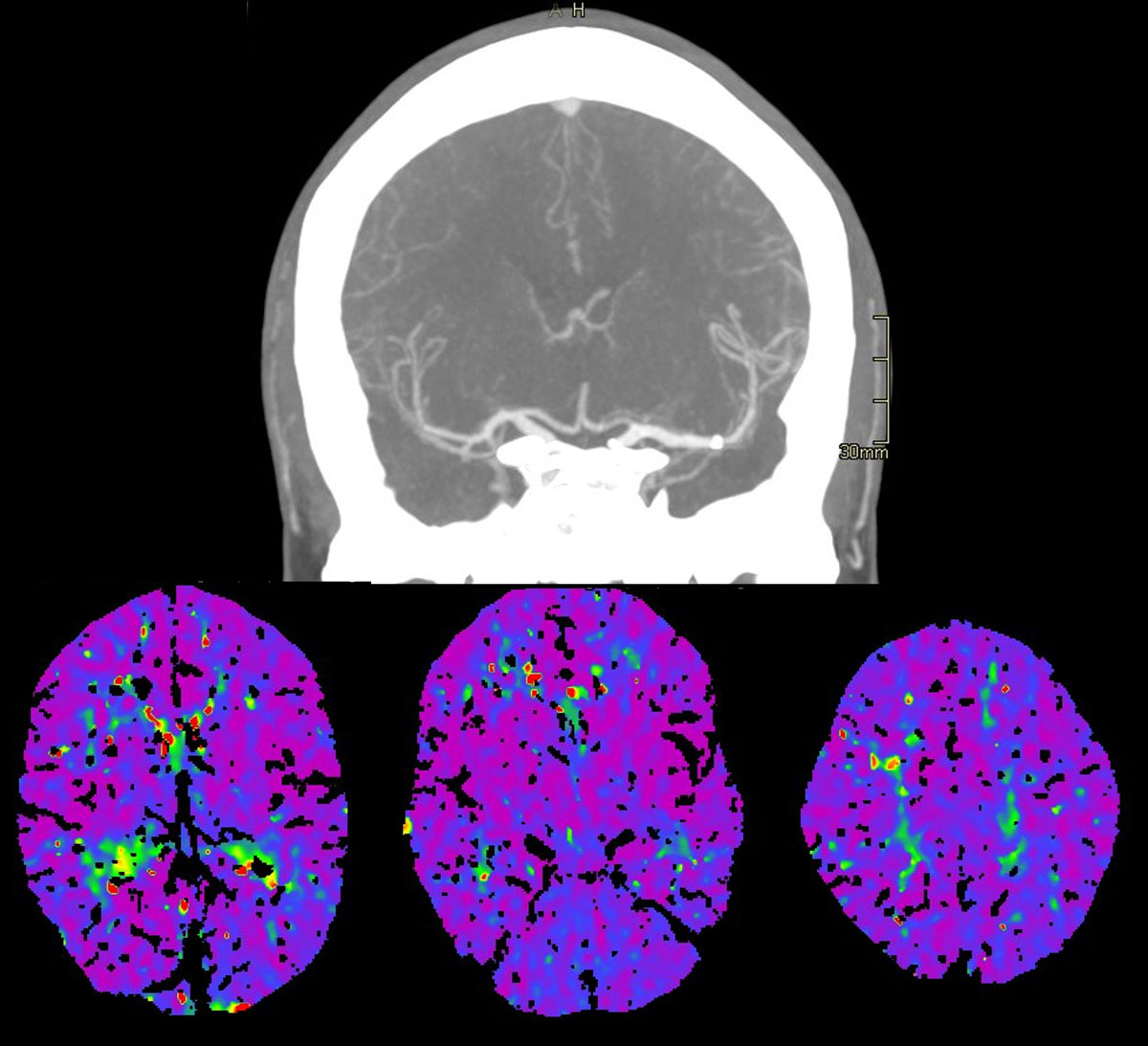
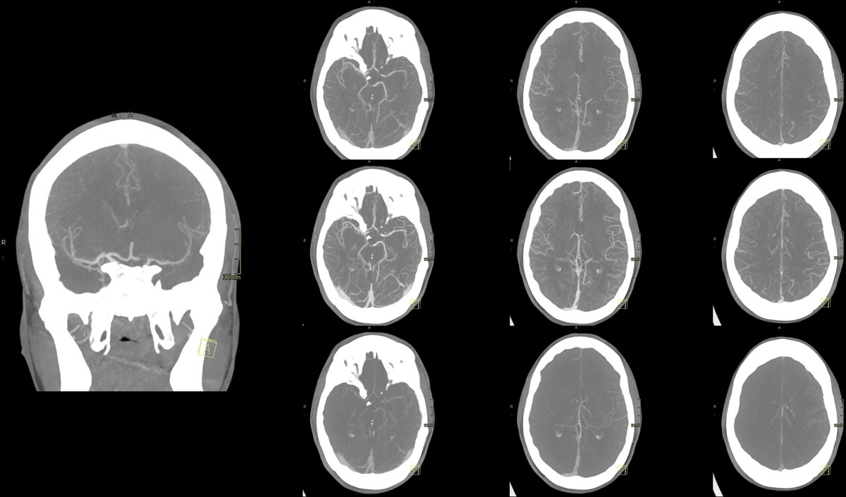
CT – CTA - CTP

 
 

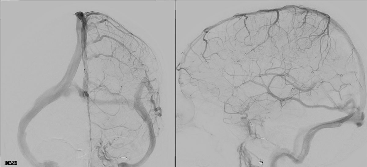
DSA

 

L - VERT

 

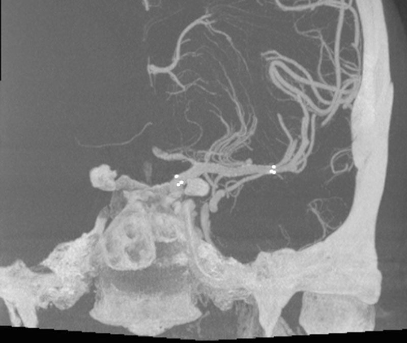
L - ICA

 
 
 
 
  • BOBBY™ Balloon Guide Catheter
  • Select-Sim

EVT Strategy

  • Inflate the balloon, in order to dilate the true lumen
  • MCA access with the softest system possible
  • Open a stentriever for 20 mins with antiplatelet infusion
  • Resheath the stentriever, check patency, if not stent-deployment

Headway™ DUO 156cm / Traxcess™ 14

CatchViewMini20

 

 

 

 

 

pEGASUS 4x20mm

 

 

VASO-CT post

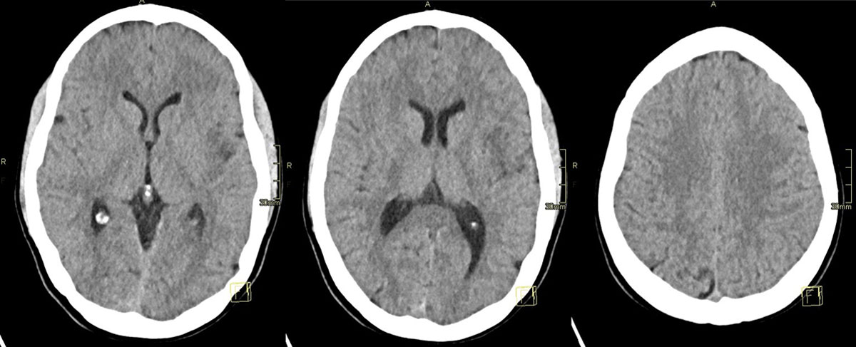
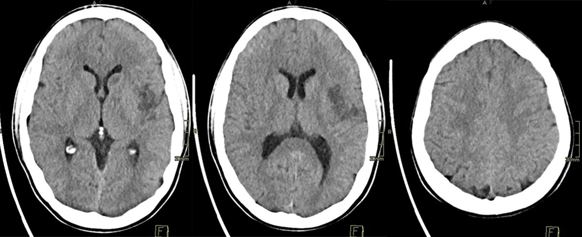
24h CT-scan

24h CTA and CTP

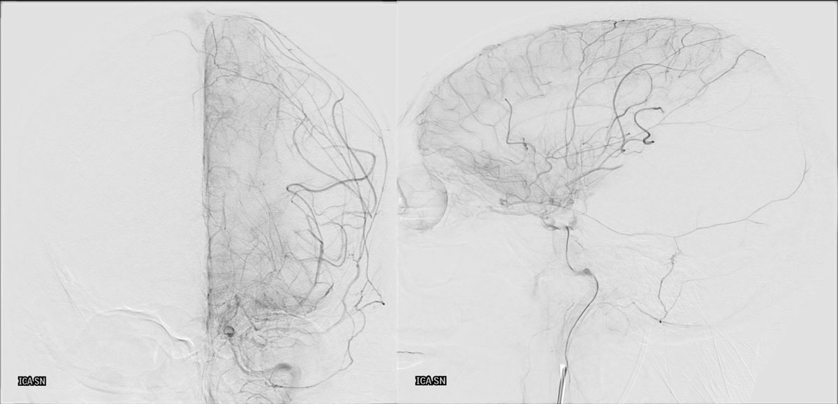
6 months DSA follow up

 

Supported by Terumo Neuro

Terumo Neuro
 

This case review is provided solely for educational and scientific purposes and does not replace the official Instructions for Use (IFU). Availability, indications, and regulatory approval of medical devices may vary by country or region; healthcare professionals should verify that the device is approved for use in their local jurisdiction. Healthcare professionals must always refer to the current, locally approved IFU before using any medical device. For complete IFUs of MicroVention products, please visit https://www.microvention.com. For third-party products, please consult the respective manufacturer’s website. MicroVention does not endorse or assume responsibility for third-party product information.

Come and join us across the globe
 Founded by Pr. Jacques Moret