The online reference source for the interventional NeuroRadiology, Neurology and NeuroSurgery community
Light
Dark
Open main menu
Cases
Lectures
LINNC TV
Podcasts
Trials
Reports
Sponsored
Events
Cases
Lectures
LINNC TV
Podcasts
Trials
Reports
Sponsored
Events
Come and join us across the globe
Founded by Pr. Jacques Moret
Sign In
Dr. Lucas GUIDA
Sao Paulo, Brazil
Contributions
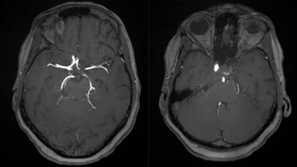
Recanalization of late internal carotid artery occlusion after implantation flow-diverter stent implantation
February 24, 2026
Come and join us across the globe
Founded by Pr. Jacques Moret