The online reference source for the interventional NeuroRadiology, Neurology and NeuroSurgery community
Light
Dark
Open main menu
Cases
Lectures
LINNC TV
Podcasts
Trials
Reports
Sponsored
Events
Cases
Lectures
LINNC TV
Podcasts
Trials
Reports
Sponsored
Events
Come and join us across the globe
Founded by Pr. Jacques Moret
Sign In
Dr. Ángela H. Schmolling
Hospital Clínico San Carlos
Madrid, Spain
Contributions
Use of a unique distal-shaped microcatheter in the treatment of a wide-neck Acom aneurysm
Balt
Aneurysms
October 26, 2025
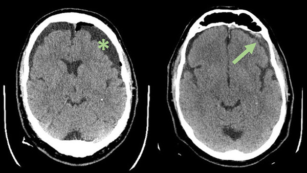
Middle meningeal artery embolization for recurrent chronic subdural hematoma
Balt
cSDH
October 7, 2025
Come and join us across the globe
Founded by Pr. Jacques Moret